Skip to main content
The Journal of Cell Biology logoLink to The Journal of Cell Biology
. 2002 Mar 18;156(6):1099–1111. doi: 10.1083/jcb.200110122

Claudin-based tight junctions are crucial for the mammalian epidermal barrier

a lesson from claudin-1–deficient mice

Mikio Furuse 1, Masaki Hata 2, Kyoko Furuse 2, Yoko Yoshida 3, Akinori Haratake 4, Yoshinobu Sugitani 5, Tetsuo Noda 5,6, Akiharu Kubo 1, Shoichiro Tsukita 1
PMCID: PMC2173463  PMID: 11889141

Abstract

The tight junction (TJ) and its adhesion molecules, claudins, are responsible for the barrier function of simple epithelia, but TJs have not been thought to play an important role in the barrier function of mammalian stratified epithelia, including the epidermis. Here we generated claudin-1–deficient mice and found that the animals died within 1 d of birth with wrinkled skin. Dehydration assay and transepidermal water loss measurements revealed that in these mice the epidermal barrier was severely affected, although the layered organization of keratinocytes appeared to be normal. These unexpected findings prompted us to reexamine TJs in the epidermis of wild-type mice. Close inspection by immunofluorescence microscopy with an antioccludin monoclonal antibody, a TJ-specific marker, identified continuous TJs in the stratum granulosum, where claudin-1 and -4 were concentrated. The occurrence of TJs was also confirmed by ultrathin section EM. In claudin-1–deficient mice, claudin-1 appeared to have simply been removed from these TJs, leaving occludin-positive (and also claudin-4–positive) TJs. Interestingly, in the wild-type epidermis these occludin-positive TJs efficiently prevented the diffusion of subcutaneously injected tracer (∼600 D) toward the skin surface, whereas in the claudin-1–deficient epidermis the tracer appeared to pass through these TJs. These findings provide the first evidence that continuous claudin-based TJs occur in the epidermis and that these TJs are crucial for the barrier function of the mammalian skin.

Keywords: claudin-1; tight junction; skin; epidermis; barrier

Introduction

For homeostasis within multicellular organisms, the internal environment must be isolated and buffered against the vagaries and extremes of the external environment and further divided into various compositionally distinct fluid compartments. This isolation/compartmentalization is established by cellular sheets of epithelia (including endothelia and mesothelia) delineating the body surface and cavities. The epithelia are classified into two types according to the number of cell layers, simple and stratified: the former consists of a single layer of polarized cells, whereas the latter, including the epidermis, is characterized by multiple layers of less polarized cells.

In vertebrate simple epithelial cells, tight junctions (TJs),* one mode of intercellular adhesion, occur in the most apical region of the lateral membranes and have been thought to create a primary barrier to the diffusion of solutes through the paracellular route: this TJ-based intercellular sealing is indispensable for the compartmentalization within the body (Schneeberger and Lynch, 1992; Gumbiner, 1993; Anderson and van Itallie, 1995). TJs were first identified by EM. On ultrathin section EM, TJs appear as a zone where plasma membranes of neighboring cells focally make complete contact (Farquhar and Palade, 1963). On freeze-fracture EM, TJs are visualized as a continuous anastomosing network of intramembranous particle strands (TJ strands or fibrils) and complementary grooves (Staehelin, 1974). These observations led to our current understanding of the three-dimensional structure of TJs; each TJ strand associates laterally with another TJ strand in apposing membranes of adjacent cells to form “paired” TJ strands, where the intercellular space is completely obliterated (Tsukita et al., 2001).

The molecular architecture of TJ strands has been unraveled in recent years. Occludin with four transmembrane domains was identified as the first integral membrane protein localizing at TJs (Furuse et al., 1993; Ando-Akatsuka et al., 1996). Immunoreplica EM and immunofluorescence microscopy revealed that occludin is a bona fide component of TJ strands in most types of cells, that is, occludin is a very good marker for TJ strands themselves (Fujimoto, 1995; Furuse et al., 1996; Saitou et al., 1997). However, gene knockout analyses at the mouse embryonic stem (ES) cell and whole body level showed that occludin is not indispensable for the formation of TJ strands (Saitou et al., 1998, 2000). Although several lines of evidence suggested some important role for occludin in TJ strands, our knowledge on its physiological function is still fragmentary (Balda et al., 1996; McCarthy et al., 1996; Chen et al., 1997; Wong and Gumbiner, 1997).

Recently, two related integral membrane proteins with molecular masses of ∼23 kD, claudin-1 and -2, were identified as components of TJ strands (Furuse et al., 1998a). Furthermore, claudins were shown to comprise a multigene family consisting of >20 members (Furuse et al., 1998a; Morita et al., 1999a,b,c; Simon et al., 1999; Tsukita and Furuse, 1999). Claudin molecules also bore four transmembrane domains but showed no sequence similarity to occludin. Interestingly, when an individual claudin species was singly introduced into mouse L fibroblasts lacking TJs claudin molecules were concentrated at cell–cell contact planes and polymerized within apposing plasma membranes to reconstitute paired TJ strands (Furuse et al., 1998b). Through further detailed transfection experiments and immunolabeling studies, it is now widely accepted that heterogeneous claudin species constitute the backbone of TJ strands in situ, that is, TJ strands are copolymers of heterogeneous claudin species (and also occludin) (Furuse et al., 1999).

When MDCK I cells, in which TJ strands were primarily composed of claudin-1 and -4, were incubated with a claudin-4–binding peptide (the COOH-terminal half of Clostridium perfringens enterotoxin), claudin-4 was specifically removed from TJ strands, resulting in a significant increase in TJ permeability (Sonoda et al., 1999). Furthermore, positional cloning recently identified claudin-14 as the gene responsible for human hereditary deafness (Wilcox et al., 2001). Mutations in this gene were interpreted to cause an increase in the TJ permeability of the Corti organ, affecting the compartmentalization in the cochlea. These findings indicated that claudins are directly involved not only in the formation of TJ strands but also in their barrier function in simple epithelia. On the other hand, morphological and physiological studies so far have revealed that TJs are not a simple barrier: they show ion and size selectivity, and their barrier function varies significantly in tightness depending on the cell type and physiological requirements, and to explain these characteristics aqueous pores (or paracellular channels) have been postulated to exist within paired TJ strands (Diamond, 1977; Claude, 1978; Reuss 1992; Gumbiner, 1993). Recent analyses of human hereditary hypomagnesemia, in which the claudin-16 gene is mutated (Simon et al., 1999), and detailed transfection experiments using MDCK cells (Furuse et al., 2001; Van Itallie et al., 2001) suggested that the density and nature of aqueous pores are determined by the combination and the mixing ratio of claudins in individual paired TJ strands (Tsukita and Furuse, 2000). Thus, claudins are thought to play crucial roles in homeostasis within multicellular organisms at least in vertebrates: (a) claudins confer the barrier function on simple epithelia by constituting TJ strands, and (b) claudins are directly involved in the transport of materials across simple epithelia through the paracellular pathway by tuning the tightness and the selectivity of TJ strands.

In this study, as a first step to elucidating the role of claudins at the whole body level we generated mice lacking claudin-1, which is expressed in most organs but in especially large amounts in the liver and kidney (Furuse et al., 1998a). Interestingly, claudin-1–deficient mice died within 1 d of birth and showed severe defects in the permeability barrier of the epidermis. This finding was unexpected because in the past several decades the roles of TJs in the barrier function of mammalian stratified epithelia, especially of the epidermis, have been mostly ignored (Squier, 1973; Elias and Friend, 1975; Elias et al., 1977). This study not only provides a completely new insight into the barrier mechanism of stratified epithelia, especially the skin, but also implicates claudins, that is, TJs, in the compartmentalization of mammals in more general ways than ever expected.

Results

Generation of claudin-1–deficient mice showing rapid postnatal lethality

To explore the function of claudin-1 in vivo, we produced mice unable to express it. Nucleotide sequencing and restriction mapping identified four exons that cover the whole ORF of claudin-1: the putative exon 1 contained the first ATG and encoded the NH2-terminal portion (amino acid 1–75) of the claudin-1 molecule containing the first transmembrane domain and the first extracellular loop (Fig. 1 A). We constructed a targeting vector, which was designed to disrupt the claudin-1 gene by replacing most of exon 1 with the neomycin resistance gene (Fig. 1 A). Two distinct lines of mice were generated from distinct ES cell clones in which the claudin-1 gene was disrupted by homologous recombination. Southern blotting confirmed the disruption of the claudin-1 gene in heterozygous and homozygous mutant mice (Fig. 1 B), and reverse transcription (RT)-PCR detected no claudin-1 mRNA from the liver of homozygous mutant mice (Fig. 1 C). Consistently, the claudin-1 protein, which was concentrated at TJs along bile canaliculi in the liver of wild-type newborn mice, was not detected in the liver of homozygous mutant mice by immunofluorescence microscopy (Fig. 1 D). Because both lines of mice showed the same phenotypes, we will mainly present data obtained from one line.

Figure 1.

Figure 1.

Generation of claudin-1–deficient mice. (A) Restriction maps of the wild-type allele, the targeting vector, and the targeted allele of the mouse claudin-1 gene. The first ATG codon was located in the putative exon 1, which encoded the NH2-terminal portion (amino acids 1–75) of the claudin-1 molecule containing the first transmembrane domain and the first extracellular loop. The targeting vector contained the pgk-neo cassette in its middle portion to delete most of exon 1 in the targeted allele. The position of the probe for Southern blotting is indicated as a bar. E, EcoRI; H, HindIII; S, SacI. (B) Genotype analyses by Southern blotting of HindIII-digested genomic DNA from wild-type (+/+), heterozygous (+/−), and homozygous (−/−) mice for the mutant claudin-1 gene allele. Southern blotting with the probe indicated in A yielded a 6.8- and 3.9-kb band from the wild-type and targeted allele, respectively. (C) Loss of claudin-1 mRNA in the liver of claudin-1−/− mice examined by RT-PCR. As a control, the hypoxanthine phosphoribosyl transferase gene was equally amplified in all samples. (D) Loss of the claudin-1 protein in the liver of claudin-1−/− mice examined by immunofluorescence microscopy. Frozen sections of the liver were stained with anti–claudin-1 pAb. In the wild-type liver, claudin-1 was concentrated at TJs along bile canaliculi, whereas in the claudin-1−/− liver these signals became undetectable. Bar, 20 μm.

No obvious phenotype was apparent in heterozygous mutant mice, and when these were interbred wild-type, heterozygous, and homozygous mutant mice were produced in the expected Mendelian ratios (Table I). At birth, homozygotes were macroscopically indistinguishable from wild-type and heterozygous littermates. However, their skin soon began to show a wrinkled appearance (Fig. 2 A), and their movements ceased. All homozygotes died within 1 d of birth.

Table I. Genotypic analysis of offsprings from heterozygous/heterozygous breeding pairs.

Wild-type Heterozygous Homozygous
27 55 34

Offsprings from 15 breeding pairs were analyzed.

Figure 2.

Figure 2.

Impairment of the epidermal barrier in claudin-1–deficient mice. (A) 12-h-old claudin-1+/+, claudin-1+/−, and claudin-1−/− mice. Claudin-1−/− mice were characterized by wrinkled skin and died within 1 d of birth. (B) Dehydration assay. After Cln1 + / intercross littermates obtained by Caesarian section at embryonic day 18.5 were resuscitated, their weights were monitored hourly without feeding. Genotyping was performed afterwards. Only Cln1 / mice showed rapid and steady weight loss. (C) TEWL measurements in two sets of Cln1 + / intercross newborns. Genotyping identified two Cln1 / newborns, and only these mice showed excessive TEWL.

Impairment of the epidermal barrier in claudin-1–deficient mice

TJs, that is, claudins, were not thought to be involved directly in the barrier function of stratified epithelial cells, especially of the skin, but the abnormal skin appearance of claudin-1−/− (Cln1 / ) mice led us to examine their epidermal barrier in detail. First, to simply check the loss of water across the skin, according to the method described previously (Segre et al., 1999), we obtained Cln1 + / intercross littermates by Caesarian section at embryonic day 18.5, resuscitated them, monitored their weights hourly without feeding, and genotyped them. In a representative experiment, two mice showed rapid and steady weight loss (down to ∼85% of the initial body weight after 12 h), whereas the others maintained weight (Fig. 2 B). Interestingly, only the two littermates showing weight loss were identified as Cln1 / mice. This perfect correlation between Cln1 / genotype and weight loss was reproducibly obtained in different series of measurements. Since urination was not detected in most littermates examined, the rapid weight loss observed in Cln1 / mice may be attributed to the evaporation of water through the epidermis. To confirm this interpretation, we directly measured the transepidermal water loss (TEWL) in two sets of Cln1 + / intercross newborns, which were afterwards genotyped. As shown in Fig. 2 C, in good agreement with the data of body weight loss only Cln1 / mice showed excessive TEWL compared with Cln1 + / and Cln1 + / + mice. We then concluded that the epidermal barrier of Cln1 / mice is severely affected.

Morphology of the epidermis of claudin-1–deficient mice

The unexpected findings on defects in the epidermal barrier of Cln1 / mice prompted us to examine the morphology of their skin after confirming the presence and absence of claudin-1 in the skin of Cln1 + / +/Cln1 + / and Cln1 / mice, respectively, by immunoblotting (Fig. 3 A). In spite of its severe defects of barrier function, the epidermis of newborn Cln1 / mice did not exhibit overt abnormalities in the layered organization of keratinocytes at the level of hematoxylin-eosin–stained paraffin section images (Fig. 3 B). The epidermis of newborn Cln1 + / + mice consists of a single cell layer of stratum basale and 2–3 cell layers each of strata spinosum and granulosum, which are covered with stratum corneum. Strata basale, spinosum, and granulosum of newborn Cln1 / mice were indistinguishable from those of Cln1 + / + mice. The only difference was detected in stratum corneum: under conventional fixation/embedding conditions, flattened cells in the upper portion of the stratum corneum of Cln1 + / + mice appeared to peel off, showing a loose basket-weave pattern, whereas in the Cln1 / skin cornified cells were compacted more tightly. Ultrathin section EM confirmed these findings at higher resolution (Fig. 3 C): the appearance of individual cells from stratum basale to granulosum was indistinguishable between the Cln1 + / + and Cln1 / skin.

Figure 3.

Figure 3.

Morphology of the epidermis of claudin-1–deficient mice. (A) Anti–claudin-1 pAb immunoblotting of the whole lysate of the skin obtained from Cln1 + / +, Cln1 + / , and Cln1 / newborn mice. As a control, the cell lysate of L fibroblast transfectants exogenously expressing mouse claudin-1 (C1L cells) was used. Claudin-1 was detected in the Cln1 + / + and Cln1 + / skin but not in the Cln1 / skin. Bars indicate molecular sizes as 31, 21, and 14 kD from the top. (B) Hematoxylin-eosin–stained sectional images of skin obtained from the back of Cln1 + / + and Cln1 / newborns. The epidermis of Cln1 / newborn mice did not exhibit overt abnormalities in the layered organization of keratinocytes except that stratum corneum appeared to be thicker and compacted tighter than that of the Cln1 + / + epidermis. SC, stratum corneum; GR, stratum granulosum; SP, stratum spinosum; BL, stratum basale. Bar, 20 μm. (C) Ultrathin section electron microscopic images of skin obtained from the back of Cln1 + / + and Cln1 / newborns. The appearance of individual keratinocytes was indistinguishable between the Cln1 + / + and Cln1 / skin. Bars, 0.5 μm.

Occludin, claudins, and TJs in the epidermis of wild-type and claudin-1–deficient mice

As a deficiency of claudin-1 appeared to make the epidermis leaky without disorganizing the layered cellular architecture, we were led to reexamine the occurrence and distribution of TJs in the mouse epidermis. Occludin is known to be highly concentrated at TJ strands in most simple epithelial cells, that is, occludin is the best general marker for TJ strands identified to date. Therefore, we first reexamined the distribution of occludin in the skin of wild-type newborn mice. As reported previously, occludin was detected in stratum granulosum consisting of 2–3 layers of granular cells, but close inspection in transverse sections revealed that occludin was concentrated as dots in the most apical region of the lateral membranes of the granular cells in the second layer (Fig. 4 A). This dot-like concentration of occludin was also detected in some but not all of the granular cells in the first (uppermost) and/or third layer. However, as shown in Fig. 6 A, when this immunostaining was done for thicker tangential sections it became clear that occludin is concentrated not as dots but as lines circumscribing individual granular cells continuously. Interestingly, these honeycomb networks of continuous TJs were occasionally observed in two layers.

Figure 4.

Figure 4.

Occludin, claudin-1, and claudin-4 in the wild-type epidermis. (A) Double immunofluorescence microscopy of frozen sections of skin from the back of wild-type mice with antioccludin mAb and anti–claudin-1 pAb. In transverse sections (a and b), occludin was concentrated as dots in the most apical region of the lateral membranes of the granular cells in the second layer (arrowheads). This dot-like concentration of occludin was also found in some but not all of the granular cells in the first (uppermost) and/or third layer. Claudin-1 was distributed diffusely throughout plasma membranes of keratinocytes from stratum basale to granulosum, although the signal from the first layer of stratum granulosum was fairly weak (a). At higher magnification (b), in the lateral membranes of granular cells in the second layer claudin-1 was coconcentrated as dots together with occludin in the most apical regions (arrowheads). In thicker oblique sections (c), claudin-1 was coconcentrated precisely at the occludin-positive lines (arrowhead). SC, stratum corneum. The broken line represents the dermis/ epidermis border. Bars, 10 μm. (B) Double immunofluorescence microscopy of frozen sections of skin from the back of wild-type mice with antioccludin mAb and anti–claudin-4 pAb. Distinct from claudin-1, claudin-4 was distributed mainly in the second/third layers of stratum granulosum (a). Claudin-4 was also concentrated at the occludin-positive lines circumscribing granular cells (arrowhead) (b). SC, stratum corneum. The broken line represents the dermis/epidermis border. Bars, 20 μm.

Figure 6.

Figure 6.

Occludin, claudin-1, and claudin-4 in the claudin-1–deficient epidermis. (A) Immunofluorescence microscopy of frozen sections of skin from the back of Cln1 + / + and Cln1 / newborn mice with antioccludin mAb. In thick tangential sections of the Cln1 + / + (+/+) and Cln1 / (−/−) skin, the occludin signal was detected as continuous lines circumscribing individual granular cells (top). In the Cln1 + / + skin, these honeycomb networks of continuous TJs were occasionally observed in two layers, and this characteristic feature of TJs was not affected by a deficiency of claudin-1 (bottom). Bars, 20 μm. (B) Double immunofluorescence microscopy of frozen sections of skin from the back of Cln1 / newborn mice with antioccludin mAb and anti–claudin-1 (a) or anti–claudin-4 pAb (b). As expected, the claudin-1 signal was undetectable, and the distribution of claudin-4 was indistinguishable from that in the Cln1 + / + skin (Fig. 4 B). Occludin-positive TJs (arrowheads). SC, stratum corneum. The broken line represents the dermis/epidermis border. Bars, 20 μm.

In contrast, intense signals for claudin-1 were detected throughout plasma membranes of epidermal keratinocytes from stratum basale to granulosum of the wild-type epidermis, although the signal from the first (uppermost) layer of granular cells was fairly weak (Fig. 4 A). However, in the lateral membranes of granular cells in the second layer claudin-1 appeared to be concentrated as dots in the most apical regions. When sections were double stained with antioccludin monoclonal antibody (mAb) and anti–claudin-1 polyclonal antibody (pAb), these claudin-1 concentrations coincided precisely with the occludin concentrations. In thicker oblique sections, claudin-1 was coconcentrated precisely at the occludin-positive lines. Furthermore, in addition to claudin-1 we found that claudin-4 was also expressed in the epidermis (Fig. 4 B). Interestingly, distinct from claudin-1, claudin-4 was distributed mainly in the second/third layers of stratum granulosum. Claudin-4 was also concentrated at the occludin-positive lines circumscribing granular cells.

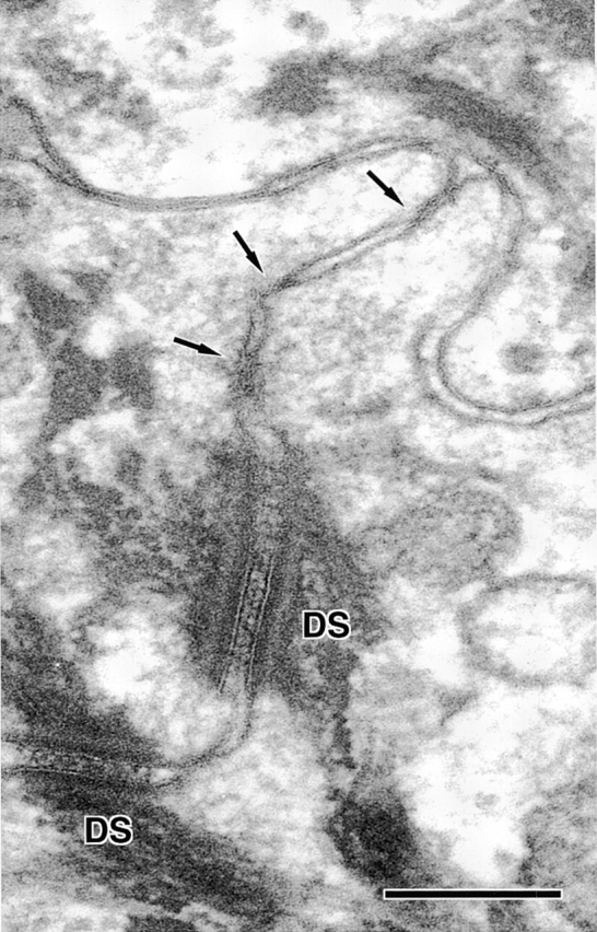
We then observed the epidermis of wild-type newborn mice by ultrathin section EM. As reported previously, it was difficult to detect typical TJs when we simply observed the wild-type epidermis. However, to our surprise when we focused on the most apical region of the lateral membranes of the granular cells in the second layer, without exception we detected typical TJs just above the desmosomes (Fig. 5).

Figure 5.

Figure 5.

Ultrathin section electron microscopic images of wild-type epidermis. (a and b) Low power electron micrograph (a) of the stratum corneum (SC) and the first through third layers of stratum granulosum (SG1, SG2, and SG3) and a corresponding schematic drawing (b). (c) A boxed area in a and b where occludin was expected to be concentrated was enlarged. Typical TJ (TJ) was detected just above desmosome (DS). (d) Another example of the TJ–desmosome complex observed at the most apical region of the lateral membranes of granular cells in the second layer. Lipid lamellar bodies (arrowheads). Kissing points of TJs (arrows). Bars: (a) 400 nm; (c) 200 nm; (d) 100 nm.

In the epidermis of Cln1 / newborn mice, occludin was still concentrated in the most apical region of lateral membranes of granular cells, although the intensity of occludin signals appeared to be slightly weaker than that in the Cln1 + / + epidermis. The continuity of the occludin-positive lines circumscribing individual granular cells did not appear to be affected at least at the light microscopic level by claudin-1 deficiency (Fig. 6 A). As expected, claudin-1 was undetectable in the Cln1 / epidermis, but the subcellular distribution of claudin-4 and the intensity of its signal were also indistinguishable from those in the Cln1 + / + epidermis (Fig. 6 B). EM of the Cln1 / epidermis revealed that at the most apical region of the lateral membranes of granular cells in the second layer TJs were observed frequently. However, it was technically difficult to quantitatively evaluate the difference in the extent of development of TJs between the Cln1 + / + and Cln1 / epidermis by ultrathin section EM (Fig. 7).

Figure 7.

Figure 7.

Ultrathin section electron microscopic image of the claudin-1–deficient epidermis. Similar to Fig. 5, c and d, at the region where occludin was expected to be concentrated TJ-like structures (arrows) were observed frequently just above the desmosome (DS). The structures appeared to be poorly developed compared with those in the wild-type epidermis, although it was technically difficult to quantitatively show this difference by ultrathin section EM. Bar, 200 nm.

These findings favored the notion that continuous TJs consisting of at least occludin, claudin-1, and claudin-4 occur in the stratum granulosum of the wild-type epidermis and that in Cln1 / mice claudin-1 was simply removed from TJs and other nonjunctional plasma membranes, whereas the layered organization of keratinocytes was unaffected.

Barrier functions of TJs in the epidermis

Then questions have arisen whether TJs in the wild-type epidermis can create a primary barrier to the diffusion of materials through the paracellular pathway and whether the barrier function of TJs is affected in the Cln1 / epidermis. To address these questions, we performed a tracer experiment according to the method developed by Chen et al. (1997). We injected an isotonic solution containing a primary amine-reactive biotinylation reagent (mol wt. 557 D), which covalently cross-links to an accessible cell surface, subcutaneously into the back of Cln1 + / + and Cln1 / newborns, and after 30 min incubation the skin was dissected out and frozen. Frozen sections were double labeled with antioccludin mAb in green and streptavidin in red to detect TJs and bound biotin, respectively (Fig. 8). In the Cln1 + / + epidermis, the biotinylation reagent appeared to diffuse through the paracellular spaces from stratum basale to the second layer of stratum granulosum, but this diffusion was abruptly prevented at the points where occludin was concentrated, that is, TJs (Fig. 8, a–c). In sharp contrast, in the Cln1 / epidermis the diffusion of injected biotinylation reagent was not stopped at the occludin-positive TJs, but the reagent appeared to pass through TJs to reach the border between the stratum granulosum and corneum (Fig. 8, d–f). These findings clearly indicate that TJs function as a barrier at least against small molecules ∼600 D in the wild-type epidermis and that this barrier function of TJs was severely affected in the Cln1 / epidermis.

Figure 8.

Figure 8.

TJ permeability assay of the wild-type and claudin-1–deficient epidermis. An isotonic solution containing freshly made biotinylation reagent into the dermis on the back of Cln1 + / + and Cln1 / newborns, and after 30 min incubation the skin was dissected out and frozen. Frozen sections were double stained with antioccludin mAb and streptavidin to label TJs and cross-linked biotin in green and red, respectively. In the Cln1 + / + epidermis (a–c), the biotinylation reagent diffused through the paracellular spaces from stratum basale to the second layer of stratum granulosum, but this diffusion was sharply stopped at occludin-positive TJs (arrows). In the Cln1 / epidermis (d–f), the diffusion of injected biotinylation reagent was not prevented at the occludin-positive TJs (arrows). Instead, the biotinylation reagent passed through these TJs to reach the border between stratum granulosum and corneum. SC, stratum corneum. Bar, 10 μm.

Stratum corneum in claudin-1–deficient mice

Several lines of evidence have indicated that stratum corneum, especially intercellular lipid lamellae and cornified cell envelopes (CEs), play a central role in the mammalian epidermal barrier (Rice and Green, 1978; Elias, 1983; Downing, 1992; Roop, 1995; Steinert, 2000). Therefore, we examined these structures morphologically and biochemically in the epidermis of Cln1 / mice. First, to visualize the lipid lamellae by ultrathin section EM the skin removed from Cln1 + / + and Cln1 / newborn mice was fixed with glutaraldehyde followed by ruthenium tetroxide. As shown in Fig. 9 A, in the Cln1 / epidermis the lamellar bodies and the well-developed/well-organized lamellae were clearly observed between granular cells and cornified cells and also between flattened cornified cells, respectively, and these structures were not distinguished from those in the Cln1 + / + epidermis. Furthermore, we compared the lipid contents of the stratum corneum between Cln1 + / + and Cln1 / mice but found no significant difference between the lipid profiles of the two mice (unpublished data).

Figure 9.

Figure 9.

Stratum corneum in claudin-1–deficient mice. (A) Ultrathin section electron microscopic images of ruthenium tetroxide-stained stratum corneum of the skin. Both in the Cln1 + / + and Cln1 / epidermis, well-organized lipid lamellae and lamellar bodies were clearly observed between flattened cornified cells (CC; top) and between cornified cells and granular cells (GC; bottom), respectively. Bars, 0.1 μm. (B) Isolated cornified CEs. There was no clear difference in appearance between the Cln1 + / +, Cln1 + / , and Cln1 / skin. Bar, 40 μm. (C) Expression levels of major components of cornified CEs, loricrin and involucrin, detected by immunoblotting. Whole cell lysates of the Cln1 + / +, Cln1 + / , and Cln1 / skin were examined using specific antibodies. (D) Expression levels of Klf4, transglutaminase-1 (TG1), and GAPDH (control) detected by Northern blotting.

Then we examined CEs in which several types of proteins such as loricrin and involucrin are covalently cross-linked by transglutaminase-1. CEs were therefore very stable and were isolated by treating the wild-type epidermis with 2% SDS in the presence of 5% 2-mercaptoethanol (Fig. 9 B, +/+). Under the same isolation conditions, CEs were also isolated efficiently from the Cln1 + / and Cln1 / epidermis, and they were morphologically indistinguishable from those of the Cln1 + / + epidermis (Fig. 9 B, +/− and −/−). Finally, we examined the expression of loricrin, involucrin, transglutaminase-1 (Matsuki et al., 1998), and Klf4 (Segre et al., 1999) in the Cln1 / epidermis by immunoblotting or Northern blotting. As shown in Fig. 9, C and D, a deficiency of claudin-1 did not appear to affect their expression.

Transplantation of the claudin-1–deficient skin to nude mice

The above observations strongly support the notion that defects in the epidermal barrier in Cln1 / mice are due to the disappearance of claudin-1 from the epidermis itself. However, since claudin-1 is expressed in various tissues of wild-type mice including the liver and kidney it is theoretically possible that the epidermal barrier defects are caused by some hormonal abnormality. To address this issue, skin fragments were removed from the back of Cln1 + / + and Cln1 / newborn mice and grafted onto the back of nude mice. Interestingly, at 1 mo after transplantation the Cln1 / grafts showed abnormalities in some respects compared with the Cln1 + / + grafts: macroscopically, the Cln1 + / + grafts bore numerous long hairs, whereas the Cln1 / grafts were associated only with a small number of short hairs (Fig. 10 A). Furthermore, the Cln1 / grafts became thicker than the Cln1 + / + grafts, and in some places they appeared to be covered with infiltrates. Histological analyses revealed that the epidermis of the Cln1 / grafts was unusually thick unlike the back of Cln1 / newborn mice and the Cln1 + / + grafts, although hair follicles appeared to be developed even in the Cln1 / grafts (Fig. 10 B). The molecular mechanism behind the hair abnormality in the Cln1 / grafts remains unknown, but this finding indicated that claudin-1 deficiency affected the epidermis directly, not through some indirect hormonal action. Furthermore, the thickening of the epidermis, that is, the hyperproliferation of keratinocytes in the epidermis, is widely recognized as a typical compensatory response of an epidermis that is severely compromised in its barrier function. Therefore, it would be reasonable to consider that claudin-1 deficiency directly increased the permeability of the epidermis.

Figure 10.

Figure 10.

Transplantation of the claudin-1–deficient skin to nude mice. (A) Macroscopic images of the skin grafts on nude mice at 1 mo after transplantation from newborns. The Cln1 + / + grafts bore numerous long hairs, whereas the Cln1 / grafts had only a small number of short hairs (left). When hairs were cropped, the Cln1 / grafts appeared to be thicker than the Cln1 + / + grafts, and in some places they appeared to be covered with infiltrates (right). (B) Hematoxylin-eosin–stained sectional images of the skin grafts on nude mice at 1 mo after transplantation from newborns. The epidermis of the Cln1 / grafts was unusually thick compared with that of the Cln1 + / + grafts, although hair follicles appeared to be developed even in the Cln1 / grafts. Bar, 100 μm.

Discussion

Claudins, which comprise a multigene family, have been shown to constitute the backbone of TJ strands in simple epithelial cells and be directly involved in their barrier function (Tsukita et al., 2001). In this study, we generated mice lacking claudin-1 by homologous recombination. These Cln1 / mice were born normally but died within 1 d of birth, showing a characteristic wrinkled skin appearance. Two distinct assays demonstrated that the epidermal barrier of Cln1 / mice was severely affected, showing excessive TEWL. Even when the Cln1 / skin was transplanted onto nude mice, the graft was still abnormal with hyperproliferation of keratinocytes, a typical compensatory response of the barrier-defective epidermis. Taking into consideration that a sufficient amount of claudin-1 was indeed detected in the epidermis of wild-type newborn mice, it is safe to say that the claudin-1 molecules expressed in the epidermis are indispensable for creating and maintaining the epidermal barrier.

The question then is how is claudin-1 involved in the epidermal barrier. Since the layered organization of keratinocytes was maintained mostly in the Cln1 / epidermis, claudin-1 deficiency did not appear to affect the viability and/or differentiation of keratinocytes. Therefore, it would be reasonable to speculate that, also in the epidermis, claudin-1 contributes to barrier function by constituting TJ strands. However, in the past several decades it has been believed that in the mammalian stratified epithelium, especially in the epidermis, TJs are not developed but occur only in a part of the stratum granulosum as fragmented strands (Squier, 1973; Elias and Friend, 1975; Elias et al., 1977; Morita et al., 1998). There are two reasons why TJs have been ignored in the mammalian epidermis. First, by ultrathin section and freeze-fracture replica EM it was technically difficult to evaluate the existence and continuity of TJs occurring only in a layer of flat and large granular cells. Second, the lack of good general markers for TJ strands has hampered the direct assessment of the existence of TJs at the immunofluorescence microscopic level. ZO-1, a peripheral membrane protein, which was initially identified to be concentrated at TJs (Stevenson et al., 1986), is localized also at the cadherin-based cell adhesion sites in many types of cells (Itoh et al., 1993), making this molecule inappropriate for use as a general marker for TJs: in the mouse epidermis, ZO-1 was distributed in most layers of keratinocytes (Morita et al., 1998). Recently, occludin has been recognized to be very specific to TJs, especially TJ strands (Tsukita and Furuse, 1999). Indeed, previous immunostaining of frozen sections of mouse epidermis with antioccludin antibodies revealed intense dot-like (sometimes linear) staining at stratum granulosum, but these findings had not thrown doubt on the widely accepted notion that there is no continuity of TJs in the epidermis (Morita et al., 1998). However, the phenotype of Cln1 / mice, that is, the impairment of the epidermal barrier, prompted us to reexamine TJs in the epidermis.

As shown in this study, detailed occludin staining of frozen sections of the wild-type skin revealed that the large flat cells in the second layer of stratum granulosum were fairly polarized and that TJs circumscribed these cells continuously at the most apical level of their lateral membranes in newborn mice. It would be difficult to show the continuity of these TJs at the electron microscopic level, but the following two findings strongly supported the existence of continuous (and functional) TJs in the epidermis: (1) in all cell–cell contacts at the most apical region of lateral membranes of granular cells in the second layer, typical TJs were clearly identified just above desmosomes by ultrathin section EM (Fig. 5), and (2) the diffusion of subcutaneously injected biotinylation reagent was sharply stopped at occludin-positive TJs (Fig. 8); this finding was highly consistent with a previous report using a colloidal lanthanum nitrate tracer (Hashimoto, 1971). Interestingly, in frog skin, which has a stratified epithelium with some cornification, cells in the upper layers are characterized by the presence of well-developed TJs, which are responsible for the unusually strong barrier function of this skin (Farquhar and Palade, 1965). Furthermore, our preliminary observations indicated that similar occludin-positive continuous TJs occur in noncornified stratified epithelia such as esophageal epithelium (unpublished data).

In the mouse epidermis, claudin-1 and -4 were expressed in large amounts and coconcentrated at the occludin-positive lines, that is, TJs, circumscribing granular cells. Therefore, based on our knowledge of TJ strands obtained in simple epithelial cells the strands in the epidermis could be regarded as heteropolymers consisting of at least occludin, claudin-1, and claudin-4. TJ strands in cultured simple epithelial cells, MDCK I cells, were also reported to be primarily composed of occludin, claudin-1, and claudin-4. As described in the Introduction, when claudin-4 was specifically removed from TJs of MDCK I cells using a claudin-4–binding peptide the TJ barrier was severely affected: in these cells, although the TJ strands were decreased in number TJs and their cellular polarity was maintained (Sonoda et al., 1999). Similar events might occur in the epidermis of Cln1 / mice: claudin-1 would be specifically removed from TJs of granular cells without the morphology of TJs or their polarity being affected. This could explain the molecular mechanism by which the Cln1 / epidermis became leaky without a change in the layered organization of keratinocytes. In the Cln1 / epidermis, the continuity of TJs appeared to be maintained at least at the light microscopic level, but it was not certain at the level of TJ strands. Indeed, the subcutaneously injected biotinylation reagent appeared to pass through the occludin-positive TJs in the Cln1 / epidermis (Fig. 8).

Curiously, in the epidermis of wild-type mice, in addition to being concentrated in TJs around granular cells claudin-1 and -4 appeared to be diffusely distributed along plasma membranes of keratinocytes in more inner layers. Judging from previous EM and immunofluorescence microscopy with antioccludin antibodies (Elias and Friend, 1975; Elias et al., 1977; Morita et al., 1998), it was not likely that these diffusely distributed claudin molecules constituted TJ strands per se or that they were involved directly in the barrier function of the epidermis. In addition to our present tracer experiment, it was reported that tracers injected into the dermis diffused freely through intercellular routes between keratinocytes up to stratum granulosum where there was some diffusion barrier (Hashimoto, 1971; Elias and Friend, 1975). Elucidation of the physiological functions of these nonpolymerized claudins would be very important in the future study of stratified epithelium.

To date, the formation of the cornified CE and lipid lamellae in and between terminally differentiating keratinocytes, respectively, has been widely accepted to be crucial for the barrier function of the mammalian epidermis (Rice and Green, 1978; Elias, 1983; Downing, 1992; Roop, 1995; Steinert, 2000): the CE consists of proteins (e.g., involucrin, loricrin, and SPRRs) stabilized by covalent cross-links formed under the action of transglutaminase-1. The CE is covered with a monomolecular layer of N-(ω-hydroxyacyl)sphingosine bound to protein by ester bonds, and intercellular lipid lamellae, which are secreted from granular cells, interconnect the CE. The present study clearly indicated that TJs, especially claudin-1, at the stratum granulosum are directly involved in the barrier function of the mammalian skin, but this conclusion is not exclusive of the notion that the CE and intercellular lipid lamellae play a crucial role in the barrier function. Probably, during phylogenetic evolution the mammalian skin has obtained at least two independent systems for forming a strong barrier: TJs in stratum granulosum and the CE/lipid lamellae in stratum corneum. Considering that in the Cln1 / skin the CE and the lipid lamellae appeared to be normal and that the transglutaminase-1–deficient mice showed a similar rapid postnatal lethality due to water loss across the skin (Matsuki et al., 1998), for the establishment of the epidermal barrier in mammals these two systems are required to work concurrently.

To date, in several knockout and transgenic mice (e.g., Klf4-deficient mice and mice expressing desmoglein-3 ectopically) the epidermal barrier but not the layered organization of keratinocytes has been shown to be affected (Segre et al., 1999; Elias et al., 2001). Interestingly, as in Cln1 / mice the stratum corneum of these mice was thicker than that of wild-type mice, although the functional relevance of this phenotype remains elusive. These mice were analyzed mainly from the viewpoint of the CE and the lipid lamellae, but it would be interesting if these mice were reexamined from the viewpoint of TJs. Also, in several skin diseases in which barrier dysfunction is suspected TJs and claudins should be examined in detail.

In this study, we found that the Cln1 / newborns demonstrated severe dehydration due to excessive TEWL across the skin and that these animals died within 1 d of birth. Of course, it is not easy to conclusively show a causal sequence between dehydration and death, since claudin-1 is rather ubiquitously expressed in various organs other than the skin. At the initial stage of this study, we wondered whether in the Cln1 / epidermis water permeability increased due to a loss of TJ barrier or due to an effect on ion permeability and subsequent dehydration due to an osmotic effect. However, our results obtained from the tracer experiment favored the former hypothesis. Thus, this study is the first not only to experimentally provide evidence for the direct involvement of TJs in the function of the mammalian epidermal barrier but also to show that the same mechanism, that is, the use of claudin-based TJs, is shared by the barrier function of simple and stratified epithelia. We are only just beginning to identify the missing pieces linking simple and stratified epithelial cells in molecular terms.

Materials and methods

Antibodies

Rat anti–mouse occludin mAb (MOC37), guinea pig anti–mouse claudin-1 pAb, and rabbit anti–mouse claudin-4 pAb were raised and characterized previously (Saitou et al., 1997; Furuse et al., 1999; Morita et al., 1999a). Rabbit anti–claudin-1 pAb and rabbit anti–mouse involucrin pAb/rabbit anti–mouse loricrin pAb were purchased from Zymed Laboratories and Covance, respectively.

Claudin-1 targeting construct and generation of Cln1 / mice

Three overlapping clones encoding mouse claudin-1 were obtained by screening a λ 129/Sv genomic library. Using one of them, the targeting vector was constructed by ligating a 7.0-kb SacI fragment and a 1.6-kb SacI/EcoRI fragment, which were located upstream and downstream of exon 1, respectively, to the pgk-neo cassette. The diphthelia toxin A expression cassette (MC1pDT-A) was placed outside the 3′ arm of homology for negative selection. This targeting vector was designed to delete the coding region in exon 1 and subsequent 5′ sequence of the intron (Fig. 1 A). J1 ES cells were electroporated with the targeting vector and selected for ∼9 d in the presence of G418. The G418-resistant colonies were removed and screened by Southern blotting with the 3′ external probe (Fig. 1 A). Correctly targeted ES clones were identified by an additional 3.9-kb band together with the 6.8-kb band of the wild-type allele when digested with HindIII. The targeted ES cells obtained were injected into C57BL/6 blastocysts, which were in turn transferred into Balb/c foster mothers to obtain chimeric mice. Male chimeras were mated with C57BL/6 females, and agouti offsprings were genotyped to confirm the germline transmission of the targeted allele. The littermates were genotyped by Southern blotting. Heterozygous mice were then interbred to produce homozygous mice.

RT-PCR and immunoblotting

Total RNA was isolated from the liver of newborn mice as described by Chomczynski and Sacchi (1987). RT-PCR was performed to amplify a portion of claudin-1 cDNA using primers, 5′-AGCCAGGAGCCTCGCCCCGCAGCTGCA-3′ (forward) and 5′-CGGGTTGCCTGCAAAGT-3′ (reverse). As a control, hypoxanthine phosphoribosyl transferase cDNA was amplified as a housekeeping gene. For immunoblotting, the skin was removed from newborn mice, frozen, ground into powder in liquid nitrogen, homogenized in the SDS-PAGE sample buffer, and then boiled for 10 min. Equal amounts of proteins were separated in 12.5 or 15% SDS-PAGE gels and then processed for immunoblotting as described previously (Furuse et al., 1999).

Morphological analyses

For conventional light microscopic observation, samples were fixed with 10% formalin in phosphate-buffered saline at 4°C, dehydrated in a graded series of ethanol, and then embedded in paraffin wax. Sections ∼5-μm thick were mounted on slides, dewaxed, hydrated, and then stained with hematoxylin-eosin. For immunofluorescence microscopy, frozen sections ∼5–10-μm thick were processed as described previously (Furuse et al., 1993).

For ultrathin section EM, newborn mice were fixed by perfusing the fixative (2.5% glutaraldehyde, 2% paraformaldehyde, 0.1 M cacodylate buffer, pH 7.3) from the heart. The skin was removed and processed as described previously (Furuse et al., 1993). To visualize the lipid lamella in stratum corneum, samples were postfixed with a fixative containing 1% ruthenium tetroxide and 0.1 M cacodylate (pH 6.8) at room temperature for 1 h and then dehydrated with a graded series of acetone (Madison et al., 1987).

Barrier function assays

TEWL was determined by directly measuring the water evaporation from the dorsal skin of newborn mice using a moisture analyzer NEP-1 BRAVO (MECCO Inc.).

TJ permeability assay using surface biotinylation technique was performed according to the method developed by Chen et al. (1997). 50 μl of 10 mg/ml EZ-Link™ Sulfo-NHS-LC-Biotin (Pierce Chemical Co.) in PBS containing 1 mM CaCl2 was injected into the dermis on the back of the Cln1 + / + and Cln1 / newborns. After 30-min incubation, the skin was taken out and frozen in liquid nitrogen. About 5-μm-thick frozen sections were fixed in 95% ethanol at 4°C for 30 min and then in 100% acetone at room temperature for 1 min. The sections were soaked in blocking solution for 15 min, incubated with antioccludin mAb for 30 min, washed three times with blocking solution, then incubated with a mixture of FITC anti–rat IgG pAb (Jackson ImmunoResearch Laboratories) and Streptavidin Texas red (Oncogene Research Products) for 30 min.

Isolation of cornified CEs

To isolate cornified CEs, the skin was removed from the back of newborn mice, homogenized in SDS-PAGE sample buffer, and then boiled for 15 min, mainly according to a method developed previously (Hohl et al., 1991).

Acknowledgments

We thank Drs. Y. Miyachi (Kyoto University), H. Uchiwa (Kanebo, Ltd.), H. Yoshida (Kyoto University), M. Amagai (Keio University, Tokyo, Japan), and W.W. Franke (German Cancer Research Center, Heidelberg, Germany) for valuable discussions. We also thank Ms. K. Yoshida, K. Hirao-Minakuchi, C. Matsui, and C. Fujiwara for their excellent technical assistance.

This study was supported in part by a Grant-in-Aid for Cancer Research and a Grant-in-Aid for Scientific Research (A) from the Ministry of Education, Science and Culture of Japan to S. Tsukita, and by Japan Society for the Promotion of Science Research for the Future Program to M. Furuse.

Note added in proof. Recently, Drs. I. Moll, W.W. Franke, and their colleagues also reported the occurence of continuous TJs in the human epidermis (Brandner, J.M., S. Keif, C. Grund, M. Randl, P. Houdek, C. Kuhn, E. Tsouchler, W.W. Franke, and I. Moll. Organization and formation of the tight junction-system in human epidermis and cultured keratinocytes. Eur. J. Cell Biol. In press).

Footnotes

*

Abbreviations used in this paper: CE, cell envelope; ES, embryonic stem; mAb, monoclonal antibody; pAb, polyclonal antibody; RT, reverse transcription; TJ, tight junction; TEWL, transepidermal water loss.

References

  1. Anderson, J.M., and C.M. van Itallie. 1995. Tight junctions and the molecular basis for regulation of paracellular permeability. Am. J. Physiol. 269:G467–G475. [DOI] [PubMed] [Google Scholar]
  2. Ando-Akatsuka, Y., M. Saitou, T. Hirase, M. Kishi, A. Sakakibara, M. Itoh, S. Yonemura, M. Furuse, and Sh. Tsukita. 1996. Interspecies diversity of the occludin sequence: cDNA cloning of human, mouse, dog, and rat-kangaroo homologues. J. Cell Biol. 133:43–47. [DOI] [PMC free article] [PubMed] [Google Scholar]
  3. Balda, M.S., J.A. Whitney, C. Flores, S. González, M. Cereijido, and K. Matter. 1996. Functional dissociation of paracellular permeability and transepithelial electrical resistance and disruption of the apical-basolateral intramembrane diffusion barrier by expression of a mutant tight junction membrane protein. J. Cell Biol. 134:1031–1049. [DOI] [PMC free article] [PubMed] [Google Scholar]
  4. Chen, Y.-H., C. Merzdorf, D.L. Paul, and D.A. Goodenough. 1997. COOH terminus of occludin is required for tight junction barrier function in early Xenopus embryos. J. Cell Biol. 138:891–899. [DOI] [PMC free article] [PubMed] [Google Scholar]
  5. Chomczynski, P., and N. Sacchi. 1987. Single-step method of RNA isolation by acid guanidinium thiocyanate-phenol-chloroform extraction. Anal. Biochem. 162:156–159. [DOI] [PubMed] [Google Scholar]
  6. Claude, P. 1978. Morphological factors influencing transepithelial permeability: a model for the resistance of the zonula occludens. J. Membr. Biol. 39:219–232. [DOI] [PubMed] [Google Scholar]
  7. Diamond, J. 1977. The epithelial junction: bridge, gate, and fence. Physiologist. 20:10–18. [PubMed] [Google Scholar]
  8. Downing, D.T. 1992. Lipid and protein structures in the permeability barrier of mammalian epidermis. J. Lipid Res. 33:301–313. [PubMed] [Google Scholar]
  9. Elias, P.M. 1983. Epidermal lipids, barrier function, and desquamation. J. Invest. Dermatol. 80:44s–49s. [PubMed] [Google Scholar]
  10. Elias, P.M., and D.S. Friend. 1975. The permeability barrier in mammalian epidermis. J. Cell Biol. 65:180–191. [DOI] [PMC free article] [PubMed] [Google Scholar]
  11. Elias, P.M., N. Scott Mcnutt, and D.S. Friend. 1977. Membrane alterations during cornification of mammalian squamous epithelia: a freeze-fracture, tracer, and thin-section study. Anat. Rec. 189:577–594. [DOI] [PubMed] [Google Scholar]
  12. Elias, P.M., N. Matsuyoshi, H. Wu, C. Lin, Z.H. Wang, B.E. Brown, and J.R. Stanley. 2001. Desmoglein isoform distribution affects stratum corneum structure and function. J. Cell Biol. 153:243–249. [DOI] [PMC free article] [PubMed] [Google Scholar]
  13. Farquhar, M.G., and G.E. Palade. 1963. Junctional complexes in various epithelia. J. Cell Biol. 17:375–412. [DOI] [PMC free article] [PubMed] [Google Scholar]
  14. Farquhar, M.G., and G.E. Palade. 1965. Cell junctions in amphibian skin. J. Cell Biol. 26:263–291. [DOI] [PMC free article] [PubMed] [Google Scholar]
  15. Fujimoto, K. 1995. Freeze-fracture replica electron microscopy combined with SDS digestion for cytochemical labeling of integral membrane proteins. Application to the immunogold labeling of intercellular junctional complexes. J. Cell Sci. 108:3443–3449. [DOI] [PubMed] [Google Scholar]
  16. Furuse, M., T. Hirase, M. Itoh, A. Nagafuchi, S. Yonemura, Sa. Tsukita, and Sh. Tsukita. 1993. Occludin: a novel integral membrane protein localizing at tight junctions. J. Cell Biol. 123:1777–1788. [DOI] [PMC free article] [PubMed] [Google Scholar]
  17. Furuse, M., K. Fujimoto, N. Sato, T. Hirase, Sa. Tsukita, and Sh. Tsukita. 1996. Overexpression of occludin, a tight junction-associated integral membrane protein, induces the formation of intracellular multilamellar bodies bearing tight junction-like structures. J. Cell Sci. 109:429–435. [DOI] [PubMed] [Google Scholar]
  18. Furuse, M., K. Fujita, T. Hiiragi, K. Fujimoto, and Sh. Tsukita. 1998. a. Claudin-1 and -2: novel integral membrane proteins localizing at tight junctions with no sequence similarity to occludin. J. Cell Biol. 141:1539–1550. [DOI] [PMC free article] [PubMed] [Google Scholar]
  19. Furuse, M., H. Sasaki, K. Fujimoto, and Sh. Tsukita. 1998. b. A single gene product, claudin-1 or -2, reconstitutes tight junction strands and recruits occludin in fibroblasts. J. Cell Biol. 143:391–401. [DOI] [PMC free article] [PubMed] [Google Scholar]
  20. Furuse, M., H. Sasaki, and Sh. Tsukita. 1999. Manner of interaction of heterogeneous claudin species within and between tight junction strands. J. Cell Biol. 147:891–903. [DOI] [PMC free article] [PubMed] [Google Scholar]
  21. Furuse, M., K. Furuse, H. Sasaki, and Sh. Tsukita. 2001. Conversion of Zonula Occludentes from tight to leaky strand type by introducing claudin-2 into MDCK I cells. J. Cell Biol. 153:263–272. [DOI] [PMC free article] [PubMed] [Google Scholar]
  22. Gumbiner, B. 1993. Breaking through the tight junction barrier. J. Cell Biol. 123:1631–1633. [DOI] [PMC free article] [PubMed] [Google Scholar]
  23. Hashimoto, K. 1971. Intercellular spaces of the human epidermis as demonstrated with lanthanum. J. Invest. Dermatol. 57:17–31. [DOI] [PubMed] [Google Scholar]
  24. Hohl, D., T. Mehrel, U. Lichti, M.L. Turner, D.R. Roop, and P.M. Steinert. 1991. Characterization of human loricrin. Structure and function of a new class of epidermal cell envelope proteins. J. Biol. Chem. 266:6626–6636. [PubMed] [Google Scholar]
  25. Itoh, M., A. Nagafuchi, S. Yonemura, T. Kitani-Yasuda, Sa. Tsukita, and Sh. Tsukita. 1993. The 220-kD protein colocalizing with cadherins in non-epithelial cells is identical to ZO-1, a tight junction-associated protein in epithelial cells: cDNA cloning and immunoelectron microscopy. J. Cell Biol. 121:491–502. [DOI] [PMC free article] [PubMed] [Google Scholar]
  26. Madison, K.C., D.C. Swartzendruber, P.W. Wertz, and D.T. Downing. 1987. Presence of intact intercellular lipid lamellae in the upper layers of the stratum corneum. J. Invest. Dermatol. 88:714–718. [DOI] [PubMed] [Google Scholar]
  27. Matsuki, M., F. Yamashita, A. Ishida-Yamamoto, K. Yamada, C. Kinoshita, S. Fushiki, E. Ueda, Y. Morishima, K. Tabata, H. Yasuno, et al. 1998. Defective stratum corneum and early neonatal death in mice lacking the gene for transglutaminase 1 (keratinocyte transglutaminase). Proc. Natl. Acad. Sci. USA. 95:1044–1049. [DOI] [PMC free article] [PubMed] [Google Scholar]
  28. McCarthy, K.M., I.B. Skare, M.C. Stankewich, M. Furuse, Sh. Tsukita, R.A. Rogers, R.D. Lynch, and E.E. Schneeberger. 1996. Occludin is a functional component of the tight junction. J. Cell Sci. 109:2287–2298. [DOI] [PubMed] [Google Scholar]
  29. Morita, K., M. Itoh, M. Saitou, Y. Ando-Akatsuka, M. Furuse, K. Yoneda, S. Imamura, and Sh. Tsukita. 1998. Subcellular distribution of tight junction-associated proteins, occludin, ZO-1 and ZO-2, in rodent skin and its developmental changes. J. Invest. Dermatol. 110:862–866. [DOI] [PubMed] [Google Scholar]
  30. Morita, K., M. Furuse, K. Fujimoto, and Sh. Tsukita. 1999. a. Claudin multigene family encoding four-transmembrane domain protein components of tight junction strands. Proc. Natl. Acad. Sci. USA. 96:511–516. [DOI] [PMC free article] [PubMed] [Google Scholar]
  31. Morita, K., H. Sasaki, K. Fujimoto, M. Furuse, and Sh. Tsukita. 1999. b. Claudin-11/OSP-based tight junctions in myelinated sheaths of oligodendrocytes and Sertoli cells in testis. J. Cell Biol. 145:579–588. [DOI] [PMC free article] [PubMed] [Google Scholar]
  32. Morita, K., H. Sasaki, M. Furuse, and Sh. Tsukita. 1999. c. Endothelial claudin: claudin-5/TMVCF constitutes tight junction strands in endothelial cells. J. Cell Biol. 147:185–194. [DOI] [PMC free article] [PubMed] [Google Scholar]
  33. Reuss, L. 1992. Tight junction permeability to ions and water. Tight Junctions. M. Cereijido, editor. CRC Press, London. 49–66.
  34. Rice, R.H., and H. Green. 1978. Relation of protein synthesis and transglutaminase activity to formation of the cross-linked envelope during terminal differentiation of the cultured human epidermal keratinocytes. J. Cell Biol. 76:705–711. [DOI] [PMC free article] [PubMed] [Google Scholar]
  35. Roop, D.R. 1995. Defects in the barrier. Science. 267:474–475. [DOI] [PubMed] [Google Scholar]
  36. Saitou, M., Y. Ando-Akatsuka, M. Itoh, M. Furuse, J. Inazawa, K. Fujimoto, and Sh. Tsukita. 1997. Mammalian occludin in epithelial cells: its expression and subcellular distribution. Eur. J. Cell Biol. 73:222–231. [PubMed] [Google Scholar]
  37. Saitou, M., K. Fujimoto, Y. Doi, M. Itoh, T. Fujimoto, M. Furuse, H. Takano, T. Noda, and Sh. Tsukita. 1998. Occludin-deficient embryonic stem cells can differentiate into polarized epithelial cells bearing tight junctions. J. Cell Biol. 141:397–408. [DOI] [PMC free article] [PubMed] [Google Scholar]
  38. Saitou, M., M. Furuse, H. Sasaki, H. Takano, T. Noda, and Sh. Tsukita. 2000. Complex phenotype of mice lacking occludin, a component of tight junction strands. Mol. Biol. Cell. 11:4131–4142. [DOI] [PMC free article] [PubMed] [Google Scholar]
  39. Schneeberger, E.E., and R.D. Lynch. 1992. Structure, function, and regulation of cellular tight junctions. Am. J. Physiol. 262:L647–L661. [DOI] [PubMed] [Google Scholar]
  40. Segre, J.A., C. Bauer, and E. Fuchs. 1999. Klf4 is a transcription factor required for establishing the barrier function of the skin. Nat. Genet. 22:356–360. [DOI] [PubMed] [Google Scholar]
  41. Simon, D.B., Y. Lu, K.A. Choate, H. Velazquez, E. Al-Sabban, M. Praga, G. Casari, A. Betinelli, G. Colussi, J. Rodriguez-Soriano, et al. 1999. Paracellin-1, a renal tight junction protein required for paracellular Mg2+ resorption. Science. 285:103–106. [DOI] [PubMed] [Google Scholar]
  42. Sonoda, N., M. Furuse, H. Sasaki, S. Yonemura, J. Katahira, Y. Horiguchi, and Sh. Tsukita. 1999. Clostridium perfringens enterotoxin fragment removes specific claudins from tight junction strands: evidence for direct involvement of claudins in tight junction barrier. J. Cell Biol. 147:195–204. [DOI] [PMC free article] [PubMed] [Google Scholar]
  43. Squier, C.A. 1973. The permeability of keratinized and nonkeratinized oral epithelium to horseradish peroxidase. J. Ultrastr. Res. 43:160–177. [DOI] [PubMed] [Google Scholar]
  44. Staehelin, L.A. 1974. Structure and function of intercellular junctions. Int. Rev. Cytol. 39:191–283. [DOI] [PubMed] [Google Scholar]
  45. Steinert, P.M. 2000. The complexity and redundancy of epithelial barrier function. J. Cell Biol. 151:F5–F7. [DOI] [PMC free article] [PubMed] [Google Scholar]
  46. Stevenson, B.R., J.D. Siliciano, M.S. Mooseker, and D.A. Goodenough. 1986. Identification of ZO-1: a high molecular weight polypeptide associated with the tight junction (zonula occludens) in a variety of epithelia. J. Cell Biol. 103:755–766. [DOI] [PMC free article] [PubMed] [Google Scholar]
  47. Tsukita, Sh., and M. Furuse. 1999. Occludin and claudins in tight junction strands: leading or supporting players? Trends Cell Biol. 9:268–273. [DOI] [PubMed] [Google Scholar]
  48. Tsukita, Sh., and M. Furuse. 2000. Pores tin the wall: claudins constitute tight junction strands containing aqueous pores. J. Cell Biol. 149:13–16. [DOI] [PMC free article] [PubMed] [Google Scholar]
  49. Tsukita, Sh., M. Furuse, and M. Itoh. 2001. Multi-functional strands in tight junctions. Nat. Rev. Mol. Cell Biol. 2:285–293. [DOI] [PubMed] [Google Scholar]
  50. Van Itallie, C., C. Rahner, and J.M. Anderson. 2001. Regulated expression of claudin-4 decreases paracellular conductance through a selective decrease in sodium permeability. J. Clin. Invest. 107:1319–1327. [DOI] [PMC free article] [PubMed] [Google Scholar]
  51. Wilcox, E.R., Q.L. Burton, S. Naz, S. Riazuddin, T.N. Smith, B. Ploplis, I. Belyantseva, T. Ben-Yosef, N.A. Liburd, R.J. Morell, et al. 2001. Mutations in the gene encoding tight junction claudin-14 cause autosomal recessive deafness DFNB29. Cell. 104:165–172. [DOI] [PubMed] [Google Scholar]
  52. Wong, V., and B.M. Gumbiner. 1997. A synthetic peptide corresponding to the extracellular domain of occludin perturbs the tight junction permeability barrier. J. Cell Biol. 136:399–409. [DOI] [PMC free article] [PubMed] [Google Scholar]

Articles from The Journal of Cell Biology are provided here courtesy of The Rockefeller University Press

RESOURCES